Поиск нового термина
M
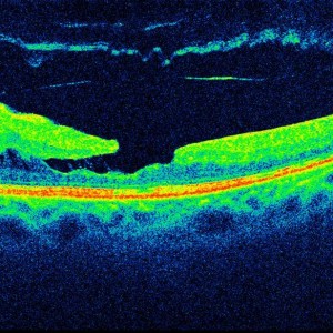
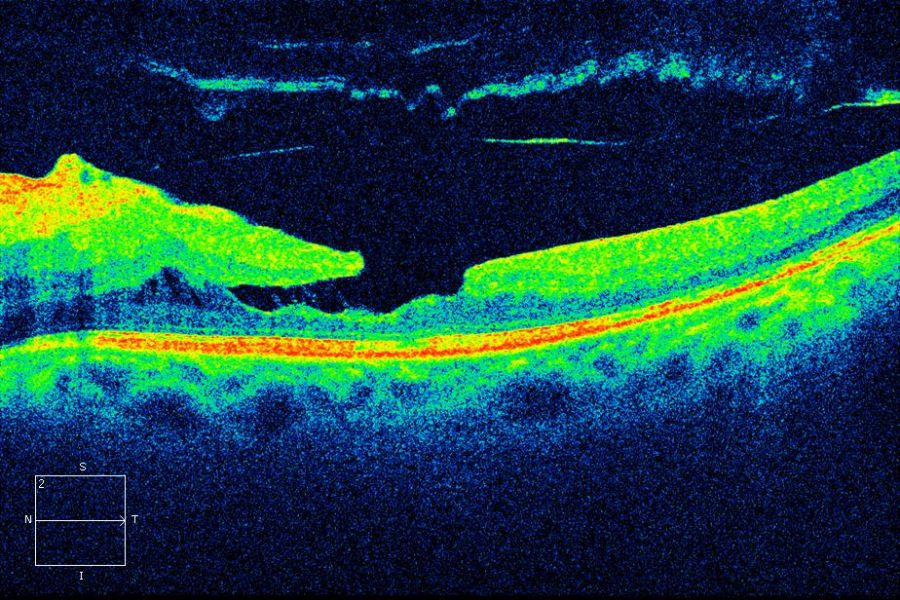
Maculaschichtforamen
Синонимы
MakulaschichtforamenПеревод
Английский | macular lamellar hole |
Английский | lamellar macular hole (аббревиатура: LMH) |