Search new term
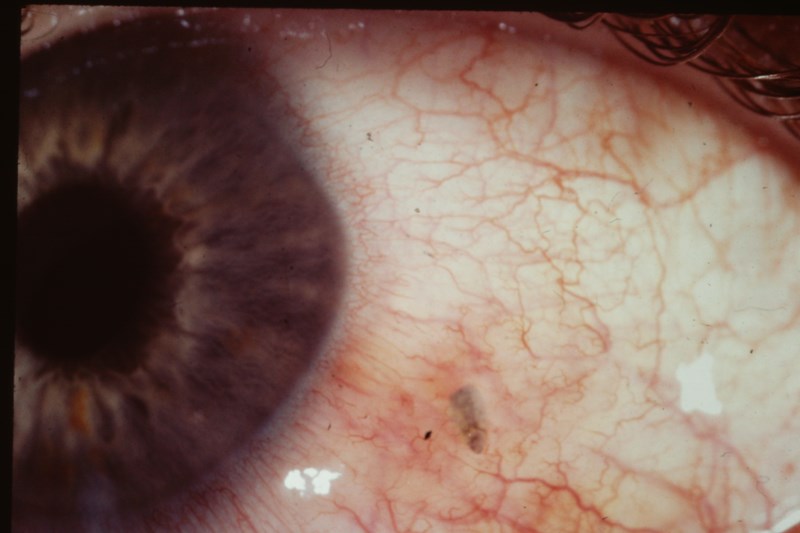
ξένο σώμα
Translations
| Bulgarian | чуждо тяло |
| Croatian | corpus alienum |
| Dutch | corpus alienum |
| English | foreign body |
| French | corps étranger |
| German | Fremdkörper |
| Italian | corpo estraneo |
| Spanish | cuerpo extraño |















